ניתוח מרפק

ניתוח מרפק שאינו כתוצאה מטראומה יבוצע לרוב בארטרסוקופיה. ניתוח מרפק ארטרוסקופי, מתאים למקרים של פציעות ברצועות המחברות בין עצמות המרפק, מחלות סחוס (קרטילדג'), או הצורך לטפל בדלקות במפרק המרפק – עיין ערך בורסיטיס. כמו כן מבוצעים ניתוחי מרפק בעת טרשת נפוצה (מרפק טניסאים או מרפק גולף). לעומת זאת, ניתוח שבר פתוח לא יבוצע כמובן באופן ארטרוסקופי – כשמו כן הוא. 

המרפק הוא מפרק רגיש בין הזרוע לאמה. רגישותו נובעת ממרחב התנועה הרב שיש בו וגמישותו של המפרק. פציעות במפרק זה לרוב מטופלות באופן שמרני, אך לעיתים אין מנוס מניתוח. 

ניתוחים במפרק המרפק אינם נפוצים. היד קלה יותר אצל ספורטאים שצריכים לחזור לפעילות. לאחר ניתוח מרפק, תהליך השיקום כולל פעולות ותרגולים פיזיותרפיים לחיזוק השרירים, כמו השריר הדו ראשי או שרירי האמה. לשחזר את תנודת המרפק, ולשקם את הפונקציות התנועתיות של המפרק. 

בימים הראשונים לאחר ניתוח, חשוב להקפיד על קיבוע היד במתלה ומנוחה מוחלטת. יש לעקוב אחרי ההנחיות של הרופא המנתח והפיזיותרפיסט. שימוש בקירור עשוי להפחית את הכאב באזור הניתוח. עם התקדמות השיקום, תתבצע סדרת תרגולים ואימונים עם הוספת משקל בהדרגה, על מנת לחזק את היד ולשחזר את הפונקציות שלה. חשוב להימנע מפעולות כבדות או מאמצים גופניים כבדים, עד שהרופא מאשר החזרה לפעילות רגילה.

סוגי ניתוח מרפק המבוצעים באופן שוטף ע"י ד"ר רשף

בארוטופד ספורט, מנתח ד"ר רשף בעיקר ניתוחים ארטרוסקופיים כמו ניתוח הטריה של מפרק המרפק,  מרפק טניסאים, תיקון הגיד הדו ראשי באיזור המרפק. אך מבצע בנוסף גם תיקוני שברים במרפק. ראה בקישורים הבאים פירוט לכל סוג ניתוח:

ארטרוסקופיה של המרפק
ארטרוסקופיה של המרפק
מרפק טניסאים
מרפק טניסאים
גיד הדו ראשי באזור המרפק
גיד הדו ראשי באזור המרפק
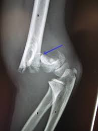
שבר הומרוס בייספס במרפק
שחזור וקיבוע שבר (סגור או פתוח) הומרוס פרוקסימאלי